Ä¡·á»ç·Ê

¹øÈ£ Ä¡·á Àü -> Ä¡·á ÈÄ Á¦¸ñ ÀÛ¼ºÀÏ Á¶È¸¼ö
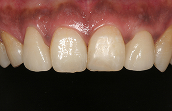
7

[Ä¡¾Æ¼ºÇü/¹Ì¹é] »ó¾Ç ÀüÄ¡ºÎ ½É¹Ìº¸Ã¶

»ó¾Ç 4ÀüÄ¡ ½É¹Ìº¸Ã¶ Áõ·ÊÀÔ´Ï´Ù. »ó¾Ç ¿ìÃø ÃøÀýÄ¡°¡ »µµå·¯Áö°í Ä¡¾Æ»çÀ̰ø°£ÀÌ ¹ú¾îÁ® ÀÖ´Â °ÍÀ» ÇØ°áÇÑ Áõ·ÊÀÔ´Ï´Ù.
2010-09-10 1243
6

[Ä¡¾Æ¼ºÇü/¹Ì¹é] ÃøÀýÄ¡ ¶ó¹Ì³×ÀÌÆ®

ÃøÀýÄ¡ ¿Ö¼ÒÄ¡¸¦ ÁÖ¼Ò·Î ³»¿øÇϽŠºÐÀ¸·Î ¾çÂÊ ÃøÀýÄ¡¸¦ ¶ó¹Ì³×ÀÌÆ®¸¦ ÀÌ¿ëÇÏ¿© ¼öº¹ÇÑ Áõ·ÊÀÔ´Ï´Ù.
2010-09-06 1240
5

[Ä¡¾Æ¼ºÇü/¹Ì¹é] ¿Ã¼¼¶ó¹Í+¶ó¹Ì³×ÀÌÆ®

»ó¾Ç ÁßÀýÄ¡ÀÇ º¯»ö, »ó¾Ç ÃøÀýÄ¡ÀÇ ½Å°æÄ¡·á ÈÄ º¯»öÀ» ÁßÀýÄ¡ÀÇ ¶ó¹Ì³×ÀÌÆ®, ÃøÀýÄ¡ÀÇ ¿Ã¼¼¶ó¹ÍÀ¸·Î ¼öº¹ÇÑ ÄÉÀ̽ºÀÔ´Ï´Ù.
2010-08-26 1189
4

[Ä¡¾Æ¼ºÇü/¹Ì¹é] ¶ó¹Ì³×ÀÌÆ®

ÀüÄ¡ºÎ Á¤ÁßÀ̰³(¹ú¾îÁø Ä¡¾Æ)¸¦ ¶ó¹Ì³×ÀÌÆ®·Î ¼öº¹ÇÑ Áõ·ÊÀÔ´Ï´Ù.
2010-08-26 1101
3

[Ä¡¾Æ¼ºÇü/¹Ì¹é] ¹Ì¹é+¿Ã¼¼¶ó¹Í Å©¶ó¿î

 »ó¾Ç ÁÂÃø ÁßÀýÄ¡ ¹× »ó¾Ç ¿ìÃø ÃøÀýÄ¡ÀÇ ½Å°æÄ¡·á ÈÄ º¯»ö ¹× ÃæÄ¡¸¦ Ä¡¾Æ ¹Ì¹é ¹× ¿Ã¼¼¶ó¹Í Å©¶ó¿îÀ¸·Î ¼öº¹ÇÑ ÄÉÀ̽ºÀÔ´Ï´Ù.
2010-08-26 1128
2

[Ä¡¾Æ¼ºÇü/¹Ì¹é] ¿Ã¼¼¶ó¹Í, ¶ó¹Ì³×ÀÌÆ®, ·¹ÁøÄ¡·á

»ó¾Ç¿ìÃøÁßÀýÄ¡ÀÇ ¿Ã¼¼¶ó¹ÍÄ¡·á, ÁÂÃøÁßÀýÄ¡ÀÇ ¶ó¹Ì³×ÀÌÆ®, ¾çÃø ÃøÀýÄ¡ÀÇ ·¹ÁøÀ» ÀÌ¿ëÇÑ ÃæÄ¡Ä¡·á caseÀÔ´Ï´Ù.
2010-08-25 1088
1

[Ä¡¾Æ¼ºÇü/¹Ì¹é] ¾çÂÊ ÃøÀýÄ¡ ¶ó¹Ì³×ÀÌÆ®

¾çÂÊ ÃøÀýÄ¡°¡ ¿Ö¼ÒÄ¡ÀÎ »óÅ·Π½É¹ÌÀû °³¼±À» À§ÇØ Ä¡¾Æ ¹Ì¹é ¹× ¾çÂÊ ÃøÀýÄ¡ ¶ó¹Ì³×ÀÌÆ® Ä¡·á caseÀÔ´Ï´Ù.      
2010-08-25 1035
  •