Ä¡·á»ç·Ê

¹øÈ£ Ä¡·á Àü -> Ä¡·á ÈÄ Á¦¸ñ ÀÛ¼ºÀÏ Á¶È¸¼ö
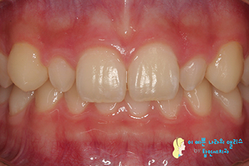
67

[Ä¡¾Æ¼ºÇü/¹Ì¹é] ¹ú¾îÁø Ä¡¾ÆÀÇ ¶ó¹Ì³×ÀÌÆ® Ä¡·á

¾Õ´Ï°¡ ¹ú¾îÁø ȯÀÚ¸¦ ÃÖ¼ÒÇÑÀÇ Ä¡¾Æ»èÁ¦·Î ¶ó¹Ì³×ÀÌÆ® Ä¡·á·Î ȸº¹ÇÑ Áõ·ÊÀÔ´Ï´Ù 
2019-01-15 2410
66

[Ä¡¾Æ¼ºÇü/¹Ì¹é] ¹ú¾îÁø Ä¡¾Æ ¶ó¹Ì³×ÀÌÆ® Ä¡·á

¹ú¾îÁø ¾Õ´Ï¸¦ Ä¡¾Æ»èÁ¦¸¦ ÃÖ¼Ò·Î ÇÏ¿© ¶ó¹Ì³×ÀÌÆ®·Î ¼öº¹ÇÑ Áõ·ÊÀÔ´Ï´Ù 
2017-04-14 2419
65

[Ä¡¾Æ¼ºÇü/¹Ì¹é] Ä¡¾ÆÆÄÀýÀÇ ¶ó¹Ì³×ÀÌÆ® ¼öº¹

¿Ü»óÀ¸·Î ÀÎÇÑ Ä¡¾ÆÆÄÀýÀ» Ä¡¾Æ»èÁ¦¸¦ ÃÖ¼Ò·Î ÇÏ¿© ¶ó¹Ì³×ÀÌÆ®·Î ȸº¹ÇÑ Áõ·ÊÀÔ´Ï´Ù. 
2017-04-13 1930
64

[Ä¡¾Æ¼ºÇü/¹Ì¹é] ÃæÄ¡ ¹× Ä¡¾Æ ¸ð¾ç °³¼±

»çÀÌ ÃæÄ¡ ¹× ¾îµÎ¿î »ö, Ä¡¾Æ¸ð¾ç °³¼±À» À§ÇØ Emax Å©¶ó¿îÀ¸·Î Ä¡·áÇÑ »ç·ÊÀÔ´Ï´Ù. 
2015-01-13 3312
63

[Ä¡¾Æ¼ºÇü/¹Ì¹é] Ä¡¾ÆÆÄÀý

¿Ü»óÀ¸·Î ÀÎÇÑ Ä¡¾ÆÆÄÀý·Î Emax Å©¶ó¿î Ä¡·á·Î ȸº¹ÇÑ Áõ·ÊÀÔ´Ï´Ù. 
2015-01-13 2170
62

[Ä¡¾Æ¼ºÇü/¹Ì¹é] Ä¡¾ÆÆÄÀý

»ó¾Ç ÁÂÃø ÁßÀýÄ¡ÀÇ Ä¡¾ÆÆÄÀý·Î ÀÎÇÑ ½Å°æ ³ëÃâ·Î ½Å°æÄ¡·á ¹× EmaxÅ©¶ó¿î Ä¡·á¸¦ ÇÑ Áõ·ÊÀÔ´Ï´Ù. 
2015-01-13 2202
61

 [Ä¡¾Æ¼ºÇü/¹Ì¹é] ¾Õ´Ï º¸Ã¶¹° ÆÄÀý ÇØ°á Áõ·Ê

Ÿº´¿ø¿¡¼­ Á¦ÀÛÇÑ ¶ó¹Ì³×ÀÌÆ®°¡ ÆÄÀýµÇ¾î ³»¿øÇϽŠȯÀÚºÐÀ¸·Î±âÁ¸ÀÇ ¶ó¹Ì³×ÀÌÆ® ¹× ÃæÄ¡ Á¦°Å ÈÄ ÁÖº¯Ä¡¾Æ¿Í ¾î¿ï¸®´Â ÃÖ´ëÇÑ ½É¹ÌÀûÀÎ º¸Ã¶¹°À» Á¦ÀÛÇÑ Áõ·ÊÀÔ´Ï´Ù.
2013-12-31 2007
60

 [Ä¡¾Æ¼ºÇü/¹Ì¹é] ¾çÂÊ ÀÛÀº ¾Õ´Ï ÀÕ¸ö¼ºÇü ¹× ¶ó¹Ì³×ÀÌÆ®

¾çÂÊ ÀÛÀº ¾Õ´Ï°¡ ¿Ö¼ÒÄ¡¿¡ ªÀº »óŶó ÀÕ¸ö¼ºÇüÀ¸·Î Ä¡¾Æ ±æÀ̸¦ È®º¸ÇϰíÀûÀýÇÑ ÇüÅ·Π¶ó¹Ì³×ÀÌÆ® Ä¡·á¸¦ ÇÑ »óÅÂÀÔ´Ï´Ù.
2013-12-31 1943
59

 [Ä¡¾Æ¼ºÇü/¹Ì¹é] »ß¶Ô»ß¶ÔÇÏ°í ±úÁø ¾Õ´Ï ¼ºÇü

±úÁö°í ³ªºñ¸ð¾çÀ¸·Î »µµå·¯Áø ¾Õ´Ï¸¦ ÀÚ¿¬½º·´°Ô ȸº¹ÇÑ Áõ·ÊÀÔ´Ï´Ù.
2013-12-31 1799
58

[Ä¡¾Æ¼ºÇü/¹Ì¹é] ¹ú¾îÁøÄ¡¾Æ ÃÖ¼Ò»èÁ¦ ¶ó¹Ì³×ÀÌÆ®

¹ú¾îÁø Ä¡¾Æ¸¦ ÃÖ¼Ò»èÁ¦ ¶ó¹Ì³×ÀÌÆ®·Î ÀÚ¿¬½º·´°Ô ȸº¹ÇÑ Áõ·ÊÀÔ´Ï´Ù - Designed by ÃÖ¼º¹Î¿øÀå
2013-10-07 1964
  •