Ä¡·á»ç·Ê

¹øÈ£ Ä¡·á Àü -> Ä¡·á ÈÄ Á¦¸ñ ÀÛ¼ºÀÏ Á¶È¸¼ö
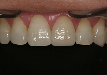
17

[Ä¡¾Æ¼ºÇü/¹Ì¹é] »ó¾ÇÀüÄ¡ºÎ ¿Ã¼¼¶ó¹Í

»ó¾Ç ÁßÀýÄ¡ÀÇ ÃæÄ¡ ¹× ÇüÅ ÀÌ»óÀ¸·Î ¾Õ´Ï µÎ°³¸¦ ¿Ã¼¼¶ó¹ÍÀ» ÀÌ¿ëÇÏ¿© ÀÚ¿¬½º·¯¿î Ä¡¾Æ·Î °³¼±½ÃŲ Áõ·ÊÀÔ´Ï´Ù.
2011-03-23 1277
16

[Ä¡¾Æ¼ºÇü/¹Ì¹é] ÀüÄ¡ºÎ ¿Ü»óÀ¸·Î ÀÎÇÑ ½É¹Ìº¸Ã¶

ÀüÄ¡ºÎ ¿Ü»óÀ¸·Î ½Å°æ°üÀÌ ³ëÃâµÉ Á¤µµÀÇ Ä¡¾ÆÆÄÀýÀ¸·Î ³»¿øÇÏ¿© ´çÀÏ ½Å°æÄ¡·á¸¦ ¸¶¹«¸®ÇÑ ÈÄ ¹Ù·Î ¿Ã¼¼¶ó¹Í Å©¶ó¿î Ä¡·á¸¦ ÇÑ Áõ·ÊÀÔ´Ï´Ù. ¿ø·¡ Ä¡¾Æ¿Í ±¸º°ÀÌ ÈûµéÁ¤µµ·Î ¿ì¼öÇÑ ½É¹ÌÀûÀÎ º¸Ã¶¹° °á°ú¸¦ ¾ò¾ú½À´Ï´Ù.
2011-01-03 1431
15

[Ä¡¾Æ¼ºÇü/¹Ì¹é] ÀÕ¸ö¼ºÇüÀ» µ¿¹ÝÇÑ ½É¹Ìº¸Ã¶

¿ôÀ» ¶§ ÀÕ¸öÀÌ °úµµÇÏ°Ô º¸À̰í Ä¡¾Æ°¡ ª°í ³ª¿Íº¸À̸ç Ä¡¾Æ»öÀÌ ¹àÁö ¾ÊÀº »óŸ¦ ÀÕ¸ö¼ºÇü, ¹Ì¹é, ½É¹Ìº¸Ã¶À» ÅëÇØ ¾Æ¸§´Ù¿î ¹Ì¼Ò¸¦ °¡Áö½Ç ¼ö ÀÖµµ·Ï ÇØ°áÇÑ Áõ·ÊÀÔ´Ï´Ù. 
2010-12-24 1408
14

[Ä¡¾Æ¼ºÇü/¹Ì¹é] ¹ú¾îÁø Ä¡¾Æ ½É¹Ìº¸Ã¶

¾Õ´Ï »çÀ̰¡ ¹ú¾îÁø °ÍÀ» ÁÖ¼Ò·Î ³»¿øÇÑ È¯ÀÚ·Î ¹ú¾îÁø Ä¡¾Æ°ø°£À» ÇØ°áÇϰí ÀÕ¸ö¶óÀÎÀ» 맟Ãß¾î ÁÜÀ¸·Î½á ½É¹Ì¼ºÀ» ȸº¹ÇÑ Áõ·ÊÀÔ´Ï´Ù.
2010-12-21 1323
13

[Ä¡¾Æ¼ºÇü/¹Ì¹é] ÀüÄ¡ºÎ ½É¹Ìº¸Ã¶

»ó¾Ç ÁßÀýÄ¡ ¹× ÃøÀýÄ¡ ¿Ü»óÀ¸·Î »ó¾Ç ÁßÀýÄ¡¿¡´Â ¿Ã¼¼¶ó¹Í, ÃøÀýÄ¡¿¡´Â ¶ó¹Ì³×ÀÌÆ®·Î ¼öº¹ÇÑ Áõ·ÊÀÔ´Ï´Ù.¿Ü»óÀ¸·Î ÀÎÇÑ Ä¡¾ÆÆÄÀý ¹× ºÒ±ÔÄ¢ÇÑ Ä¡¿­±îÁö ȸº¹ÇÑ Áõ·ÊÀÔ´Ï´Ù.
2010-12-02 1336
12

[Ä¡¾Æ¼ºÇü/¹Ì¹é] ÀüÄ¡ºÎ ½É¹Ìº¸Ã¶

»ó¾Ç ¿ìÃøÀÇ ºñ½É¹ÌÀû º¸Ã¶¹°°ú ¾çÃø ÃøÀýÄ¡°¡ ¿Ö¼ÒÄ¡ÀÎ »óÅ·Π»ó¾Ç ¿ìÃø ÁßÀýÄ¡ÀÇ ¿Ã¼¼¶ó¹Í, ¿ìÃø ÃøÀýÄ¡, ÁÂÃø ÁßÀýÄ¡ ¹× ÃøÀýÄ¡ÀÇ ÃÖ¼ÒÇÑÀÇ Ä¡¾Æ»èÁ¦·Î ¶ó¹Ì³×ÀÌÆ® Ä¡·áÇÑ Áõ·ÊÀÔ´Ï´Ù. Ä¡·á¸¦ ÅëÇØ ¾Æ¸§´Ù¿î ¹Ì¼Ò¸¦ µÇãÀº ¸ð½ÀÀÔ´Ï´Ù.
2010-11-22 1284
11

[Ä¡¾Æ¼ºÇü/¹Ì¹é] ÇÏ¾Ç ÀüÄ¡ º¯»öÄ¡ ½Ì±Û ½É¹Ìº¸Ã¶ Áõ·Ê

ÇϾÇÁÂÃø ÃøÀýÄ¡ÀÇ º¯»öÀ» ÁÖ¼Ò·Î ³»¿ø, ½Ì±Û ¿Ã¼¼¶ó¹Í Å©¶ó¿îÀ» ÀÌ¿ëÇØ ÀÚ¿¬½º·± ¸ð½ÀÀ» º¸À̰í ÀÖ½À´Ï´Ù.
2010-10-26 1268
10

[Ä¡¾Æ¼ºÇü/¹Ì¹é] ÀüÄ¡ºÎ ½Ì±Û ¶ó¹Ì³×ÀÌÆ® Áõ·Ê

»ó¾Ç ÁÂÃø ÁßÀýÄ¡ ¿Ü»óÀ¸·Î ±úÁø ÇÑ °³ÀÇ Ä¡¾Æ¸¦ ÃÖ¼ÒÇÑÀÇ Ä¡¾Æ»èÁ¦¸¦ ÅëÇÑ ¶ó¹Ì³×ÀÌÆ®·Î ¼öº¹ÇÑ Áõ·ÊÀÔ´Ï´Ù.º´¿ø ³» º´¿ø Àü´ã ±â°ø¼Ò¿Í º¸Ã¶°ú Àǻ簣ÀÇ ÀÛ¾÷À» ÅëÇÏ¿© ¿ìÃø ÁßÀýÄ¡ÀÇ ¸ð¾ç ¹× »ö»ó°úÀÇ Á¶È­¿Í µ¿½Ã¿¡ ÁßÀýÄ¡ »çÀÌÀÇ ¹ú¾îÁø ÀÕ¸ö±îÁö ÇØ°áÇÑ Áõ·ÊÀÔ´Ï´Ù.
2010-10-16 1157
9

[Ä¡¾Æ¼ºÇü/¹Ì¹é] ÀüÄ¡ºÎ ½É¹Ìº¸Ã¶ Áõ·Ê

ÀüÄ¡ºÎ ¿Ü»óÀ¸·Î ÀÎÇÑ ½Å°æÄ¡·á ÈÄ º¯»ö°ú ÇÔ²² »Ñ¸® ³¡¿¡ ¿°Áõ¼Ò°ßÀÌ ÀÖ¾î º»¿ø¿¡ ³»¿øÇÏ¿© Àç½Å°æÄ¡·á ÈÄ ÀüÄ¡ºÎ ½É¹Ìº¸Ã¶À» ÇÑ Áõ·ÊÀÔ´Ï´Ù.
2010-10-04 1215
8

[Ä¡¾Æ¼ºÇü/¹Ì¹é] ÀüÄ¡ºÎ ½É¹Ìº¸Ã¶ Áõ·Ê

 ÀüÄ¡ºÎ ¿Ü»óÀ¸·Î Ä¡¾Æ»öÀÌ º¯ÇÏ°í ±úÁø Ä¡¾Æ¸¦ ¹Ì¹é°ú ¿Ã¼¼¶ó¹Í ¹× ¶ó¹Ì³×ÀÌÆ®¸¦ ÀÌ¿ëÇØ ¼öº¹ÇÑ Áõ·ÊÀÔ´Ï´Ù.
2010-09-24 1111
  •