Ä¡·á»ç·Ê

¹øÈ£ Ä¡·á Àü -> Ä¡·á ÈÄ Á¦¸ñ ÀÛ¼ºÀÏ Á¶È¸¼ö
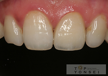
37

[Ä¡¾Æ¼ºÇü/¹Ì¹é] ³ªºñ¸ð¾ç ¾Õ´Ï ½É¹Ìº¸Ã¶

¾ç ¿·À¸·Î ¹ú¾îÁ® Èí»ç ³ªºñ¸ð¾ç°ú °°Àº Ä¡¾Æ¸¦ ½É¹Ìº¸Ã¶À» ÅëÇØ ¹Ù¸¥ Ä¡¿­·Î ¹Ù²Û Áõ·ÊÀÔ´Ï´Ù.
2012-03-11 1487
36

[Ä¡¾Æ¼ºÇü/¹Ì¹é] ¿À·¡µÈ º¸Ã¶¹° ÀçÁ¦ÀÛ

½É¹ÌÀûÀ¸·Î ÁÖº¯Ä¡¾Æ¿Í Á¶È­¸¦ ÀÌ·çÁö ¸øÇϰí Àß ¸ÂÁö ¾Ê´Â ¿À·¡µÈ º¸Ã¶¹°À»¿Ã¼¼¶ó¹ÍÀ» ÀÌ¿ëÇÏ¿© ÀÚ¿¬½º·´°Ô ÇØ°áÇÑ Áõ·ÊÀÔ´Ï´Ù.
2011-12-21 1417
35

[Ä¡¾Æ¼ºÇü/¹Ì¹é] 6ÀüÄ¡ ¶ó¹Ì³×ÀÌÆ®

Ä¡¾Æ»èÁ¦·®À» ÃּҷΠÇÑ ¶ó¹Ì³×ÀÌÆ®·Î ¹à°í ÇϾáÄ¡¾Æ·Î ¼öº¹ÇÑ Áõ·ÊÀÔ´Ï´Ù.
2011-09-23 1382
34

[Ä¡¾Æ¼ºÇü/¹Ì¹é] ¹ú¾îÁø ¾Õ´Ï, ºÒ±ÔĢġ¿­

¾Õ´Ï°¡ ¹ú¾îÁ®ÀÖ°í ºÒ±ÔÄ¢ÇÑ Ä¡¿­À» ½É¹Ìº¸Ã¶À» ÅëÇØ ÇØ°áÇÑ Áõ·ÊÀÔ´Ï´Ù.
2011-09-08 1406
33

[Ä¡¾Æ¼ºÇü/¹Ì¹é] Ä¡¿­ºÒ±ÔÄ¢ ÇØ°á ½É¹Ìº¸Ã¶Áõ·Ê

ºÒ±ÔÄ¢ÇÑ Ä¡¿­°ú ¾îµÎ¿î Ä¡¾Æ»ö±ò, ¿À·¡µÈ º¸Ã¶¹°À» ¿Ã¼¼¶ó¹Í Ä¡·á·Î ȸº¹ÇÑ Áõ·ÊÀÔ´Ï´Ù.
2011-09-06 1292
32

[Ä¡¾Æ¼ºÇü/¹Ì¹é] ¹Ý´ë±³ÇÕ

»ó¾Ç ÁËÃø ÁßÀýÄ¡ÀÇ ¹Ý´ë±³ÇÕÀ» ÇØ°áÇÑ Áõ·ÊÀÔ´Ï´Ù.
2011-07-14 1309
31

[Ä¡¾Æ¼ºÇü/¹Ì¹é] »ó¾Ç ¿ìÃø ÁßÀýÄ¡, ÃøÀýÄ¡, °ßÄ¡

»ó¾Ç ¿ìÃø ÁßÀýÄ¡, ÃøÀýÄ¡, °ßÄ¡ÀÇ º¯»ö ¹× ºÒ±ÔÄ¢ÇÑ Ä¡¿­À» ÀÚ¿¬½º·´°Ô ȸº¹ÇÑ Áõ·ÊÀÔ´Ï´Ù.
2011-07-14 2726
30

[Ä¡¾Æ¼ºÇü/¹Ì¹é] ÆíÃø ¿Ã¼¼¶ó¹Í

»ó¾Ç ¿ìÃø ÁßÀýÄ¡¿Í ÃøÀýÄ¡ÀÇ ÃæÄ¡ ¹× º¯»öÀ» ÃÖ´ëÇÑ ÁÂÃø°ú À¯»çÇÏ°Ô Á¦ÀÛÇÑ Áõ·ÊÀÔ´Ï´Ù
2011-07-14 1347
29

[Ä¡¾Æ¼ºÇü/¹Ì¹é] º¯»öÄ¡ ½Ì±Û Å©¶ó¿î

»ó¾Ç¿ìÃøÀÇ º¯»öÄ¡¸¦ ¿Ã¼¼¶ó¹ÍÀ» ÅëÇØ ÀÚ¿¬½º·´°Ô ȸº¹ÇÑ Áõ·ÊÀÔ´Ï´Ù.
2011-07-09 1260
28

[Ä¡¾Æ¼ºÇü/¹Ì¹é] ¹ú¾îÁø Ä¡¾ÆÀÇ ½É¹Ìº¸Ã¶

¿Ã¼¼¶ó¹Í ¹× ¶ó¹Ì³×ÀÌÆ®¸¦ ÀÌ¿ëÇÏ¿© ¹úÀÌÁö°í ÇüÅÂÀÌ»óÀÇ Ä¡¾Æ¸¦ ¾Æ¸§´ä°Ô ȸº¹½ÃŲ Áõ·ÊÀÔ´Ï´Ù.
2011-07-09 1239
  •