Ä¡·á»ç·Ê

Áø·á°ú¸ñ Ä¡¾Æ¼ºÇü/¹Ì¹é
¼º¸í °ü¸®ÀÚ À̸ÞÀÏ
Á¶È¸¼ö 1351ȸ ÀÛ¼ºÀÏ 2012-12-17 18:19:03
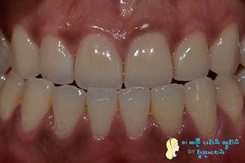
Ä¡¾Æ ¸¶¸ð ÇØ°á Áõ·Ê



¾Æ·§Åΰú À­ÅÎÀÌ ¹Ý´ë·Î ¹°¸®´Â ȯÀÚ·Î ¸¶¸ð°¡ ½ÉÇÏ¿© NB ProgramÀ» ÅëÇØ ÀÚ¿¬Ä¡¿Í À¯»çÇÑ »óÅ·Πȸº¹ÇÑ Áõ·ÊÀÔ´Ï´Ù.