Ä¡·á»ç·Ê

Áø·á°ú¸ñ Ä¡¾Æ¼ºÇü/¹Ì¹é
¼º¸í °ü¸®ÀÚ À̸ÞÀÏ
Á¶È¸¼ö 1246ȸ ÀÛ¼ºÀÏ 2010-09-10 12:35:59
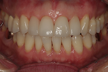
»ó¾Ç ÀüÄ¡ºÎ ½É¹Ìº¸Ã¶

»ó¾Ç 4ÀüÄ¡ ½É¹Ìº¸Ã¶ Áõ·ÊÀÔ´Ï´Ù. »ó¾Ç ¿ìÃø ÃøÀýÄ¡°¡ »µµå·¯Áö°í Ä¡¾Æ»çÀ̰ø°£ÀÌ ¹ú¾îÁ® ÀÖ´Â °ÍÀ» ÇØ°áÇÑ Áõ·ÊÀÔ´Ï´Ù.