Ä¡·á»ç·Ê

Áø·á°ú¸ñ Ä¡¾Æ¼ºÇü/¹Ì¹é
¼º¸í °ü¸®ÀÚ À̸ÞÀÏ 10sm08@naver.com
Á¶È¸¼ö 1242ȸ ÀÛ¼ºÀÏ 2010-09-06 14:17:12
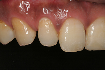
ÃøÀýÄ¡ ¶ó¹Ì³×ÀÌÆ®

ÃøÀýÄ¡ ¿Ö¼ÒÄ¡¸¦ ÁÖ¼Ò·Î ³»¿øÇϽŠºÐÀ¸·Î ¾çÂÊ ÃøÀýÄ¡¸¦ ¶ó¹Ì³×ÀÌÆ®¸¦ ÀÌ¿ëÇÏ¿© ¼öº¹ÇÑ Áõ·ÊÀÔ´Ï´Ù.