Ä¡·á»ç·Ê

Áø·á°ú¸ñ ÀÓÇöõÆ®
¼º¸í °ü¸®ÀÚ À̸ÞÀÏ
Á¶È¸¼ö 1249ȸ ÀÛ¼ºÀÏ 2010-09-07 12:08:40
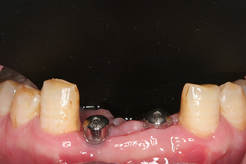
ÇÏ¾Ç ÀüÄ¡ºÎ ÀÓÇöõÆ®

ÇÏ¾Ç 4ÀüÄ¡¿¡ µÎ°³ ÀÓÇöõÆ® ½Ä¸³ ÈÄ ÀÓÇöõÆ® º¸Ã¶ ¿Ï·á ȯÀÚÀÔ´Ï´Ù.
¿ø·¡ÀÇ Ä¡¾Æ»ö¿¡ ¸ÂÃß¾î ÃÖ´ëÇÑ ÀÚ¿¬½º·± ¸ð½ÀÀ» ÀçÇöÇÑ Áõ·ÊÀÔ´Ï´Ù.